
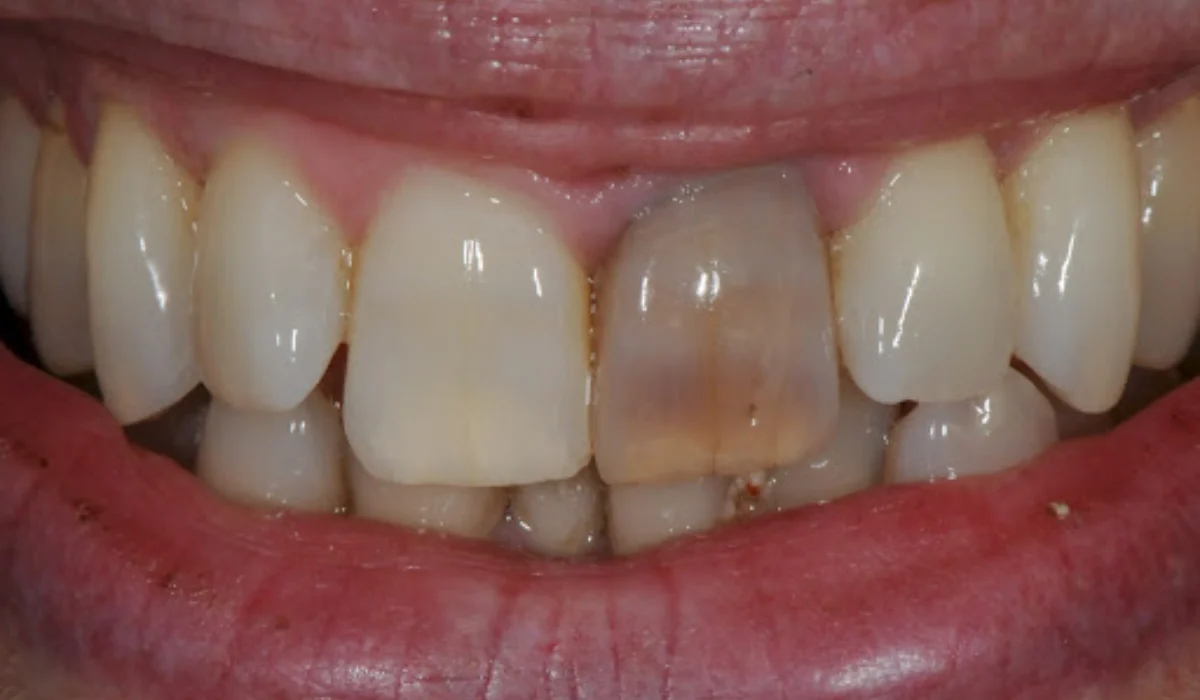
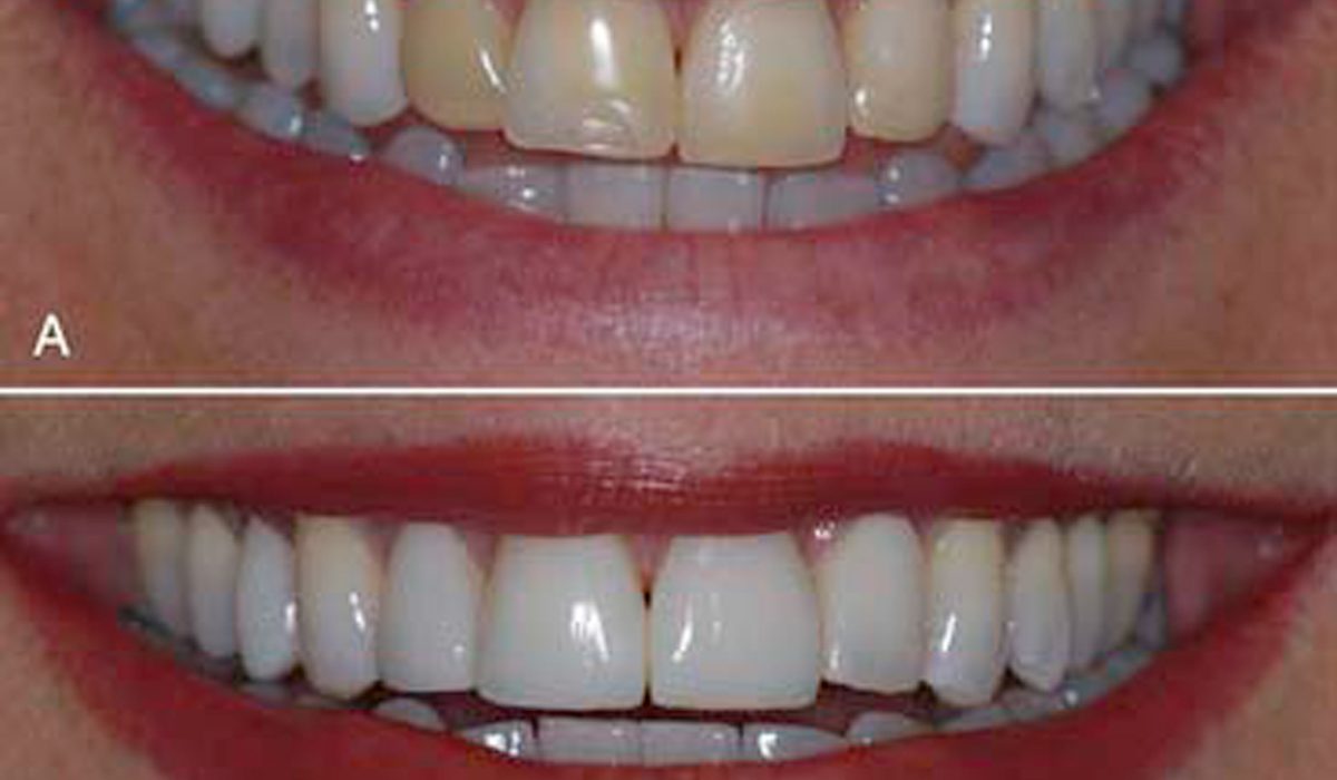
در بلاگ مرکز دندانپزشکی گیشا آرام دنتال، نگاهی ژرفتر به دنیای دندانپزشکی داشته باشید؛ از جدیدترین فناوریها و روشهای درمانی گرفته تا نکاتی برای حفظ سلامت و زیبایی لبخندتان. هر مطلب، گامی دیگر بهسوی انتخابی آگاهانه و تجربهای متفاوت است.
از درمان تا زیبایی؛
بینشی برای انتخابی آگاهانه
✦ ارتباط با مرکز دندانپزشکی گیشا آرام دنتال
زیباترین لبخند از اینجا شروع میشود
همین حالا وقت ملاقات خود را رزرو کنید و بهترین مراقبتهای تخصصی را در مرکز دندانپزشکی گیشا آرام دنتال تجربه کنید.

































































































































