11 علت سیاه شدن دندان + پیشگیری و درمان سیاهی دندان؛ راهنمای جامع 1404
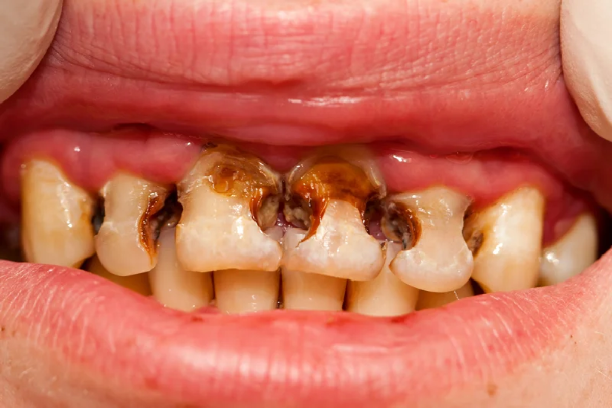
بین ۳۵ تا ۴۵ درصد بزرگسالان در مراحل مختلف زندگی، سیاه شدن دندان را تجربه میکنند و در بیش از ۲۵ درصد موارد، این تغییر رنگ ناشی از پوسیدگیهای زیرسطحی یا تجمع باکتریهای مخصوصی است که به راحتی قابل مشاهده نیستند. علاوه بر پوسیدگی، ترکیبی از عوامل داخلی و خارجی از جمله ضربه به دندان، مصرف برخی داروها، و لکههای ناشی از غذا و نوشیدنی، در سیاه شدن دندان نقش دارند. عدم توجه به این تغییر رنگها ممکن است به پیشرفت پوسیدگی، آسیب به پالپ، از دست رفتن دندان و متحمل شدن هزینههای زیاد یا درمانهای پیچیده و طولانیمدت منجر شود. اما چه عواملی دقیقاً باعث این تغییر رنگ میشوند، کدام عادات روزانه خطرناکاند و چگونه میتوان با روشهای پیشگیری و درمان سیاه شدن دندان، دندانهایی سالم و زیبا داشت؟
با شناخت علمی علل سیاه شدن دندان و شناسایی موقعیتهایی که نیازمند مراجعه فوری به دندانپزشک هستند، میتوان از بروز مشکلات جدی جلوگیری کرد و سلامت دهان را حفظ نمود. این مقاله، راهنمایی جامع برای آشنایی با نکاتی است که نادیده گرفتنشان میتواند جبرانی پرهزینه در پی داشته باشد. برای درک علتها، پیشگیری و درمان سیاه شدن دندان با ما همراه باشید.
مقاله پیشنهادی برای مطالعه: بلیچینگ دندان
دلیل سیاه شدن دندان چیست؟
تغییر رنگ دندان میتواند از لکههای سطحی تا تغییر رنگ عمیق و داخلی متفاوت باشد. شناخت دقیق دلیل سیاه شدن دندان به تشخیص درمان مناسب کمک میکند و مانع پیشرفت مشکلات دهان و دندان میشود. در بسیاری از موارد، سیاه شدن دندان میتواند نشانهای از پوسیدگی یا آسیب داخلی باشد که بدون درمان به مشکلات جدیتر میانجامد.

مقاله پیشنهادی برای مطالعه: جرم گیری دندان
سیاه شدن دندان به علت مشکلات و عوامل داخلی
تغییر رنگ داخلی به تیره شدن دندان از داخل دندان گفته میشود، نه فقط سطح آن. این حالت معمولاً زمانی رخ میدهد که پالپ دندان آسیب دیده یا نکروز شده باشد و باعث سیاه شدن دندان شود. دندانهایی با تغییر رنگ داخلی اغلب نیازمند بررسی و درمان تخصصی توسط دندانپزشک هستند، زیرا درمان زودهنگام میتواند از آسیب گسترده جلوگیری کند.
1- پوسیدگیهای اولیه
پوسیدگیهای اولیه ممکن است به شکل لکههای قهوهای یا خاکستری روی دندان ظاهر شوند و باعث سیاه شدن دندان شوند. در این مرحله، هنوز ساختار دندان به شدت آسیب ندیده و درمانهای ساده مانند ترمیم با مواد کامپوزیتی میتواند کافی باشد. بررسی دورهای توسط دندانپزشک در این مرحله اهمیت زیادی دارد، زیرا تشخیص به موقع از پیشرفت پوسیدگی جلوگیری میکند.
2- پوسیدگیهای پیشرفته
پوسیدگی پیشرفته زمانی رخ میدهد که مینای دندان و عاج به شدت آسیب دیده باشند و اغلب منجر به سیاه شدن دندان میشود. در این حالت تغییر رنگ به سمت سیاهی عمیق میرود و اغلب درد و حساسیت نیز همراه آن است. درمان به موقع میتواند شامل ترمیم، اینله یا حتی روت کانال تراپی باشد.
3- نکروز پالپ
نکروز پالپ به مرگ بافت عصبی داخل دندان گفته میشود و یکی از نشانههای آن سیاه شدن دندان است که ممکن است بدون درد باشد. تشخیص سریع توسط دندانپزشک اهمیت زیادی دارد، زیرا عدم درمان میتواند منجر به عفونت و از دست رفتن دندان شود.
4- آسیب یا ضربه به دندان (Dental Trauma)
ضربه به دندان میتواند باعث خونریزی داخلی و سیاه شدن دندان شود، حتی سالها بعد از حادثه. این آسیبها گاهی بدون علامت درد ظاهر میشوند، اما دندان ممکن است در خطر نکروز یا پوسیدگی قرار گیرد. مراجعه به دندانپزشک پس از هر ضربه دندانی ضروری است تا آسیبها کنترل شوند.
5- داروهای ایجادکننده تغییر رنگ داخلی (مثل تتراسیکلین)
برخی داروها، به ویژه تتراسیکلینها، میتوانند باعث سیاه شدن دندان دائمی شوند. این تغییر رنگ معمولاً در دوران شکلگیری دندانها رخ میدهد و با سفید کردن معمولی برطرف نمیشود. درمان شامل روشهای ترمیمی مانند بلیچینگ حرفهای یا ونیر است.
6- مشکلات ساختاری مینای دندان
مینای نازک یا نامتراکم میتواند باعث دیده شدن رنگ عاج تیرهتر و ظاهر سیاه شدن دندان شود. این مشکل معمولاً ارثی است یا در دوران رشد دندان شکل میگیرد. دندانپزشک با بررسی دقیق ساختار مینای دندان میتواند بهترین روش درمانی را پیشنهاد دهد.
مقاله پیشنهادی برای مطالعه: علائم عفونت دندان
سیاه شدن دندان به علت مشکلات و عوامل خارجی
تغییر رنگ خارجی دندان ناشی از عوامل سطحی مانند غذا، نوشیدنی یا پلاکها است و میتواند به سیاه شدن دندان منجر شود. این تغییر رنگ معمولاً با تمیزکاری تخصصی و بلیچینگ قابل اصلاح است و کمتر خطرناک است. با این حال، اگر به صورت مزمن ادامه یابد، ممکن است به پوسیدگی یا مشکلات لثه منجر شود.
7- پلاکها و جرمهای رنگدانهدار
پلاکها میتوانند با جذب رنگدانههای غذا و نوشیدنی باعث سیاه شدن دندان شوند. جرمهای سخت و رسوبات رنگی به مرور زمان به تغییر رنگ دائمی دندان میانجامند. جرمگیری تخصصی و رعایت بهداشت دهان راهکار اصلی برای مقابله با این مشکل است.
8- سیگار و دخانیات
استعمال سیگار و دخانیات یکی از عوامل مهم در سیاه شدن دندان است. نیکوتین و تار باعث تشکیل لکههای مقاوم سطحی میشوند که به مرور میتوانند دائمی شوند. ترک دخانیات و مراقبت حرفهای دندانها برای پیشگیری از تیرگی توصیه میشود.
9- قهوه، چای و نوشیدنیهای پررنگ
مصرف مداوم قهوه، چای و نوشیدنیهای رنگی باعث سیاه شدن دندان میشود. این لکهها ابتدا سطحی هستند، اما در طول زمان به عمق مینای دندان نفوذ میکنند. شستوشوی دهان و مسواک زدن بعد از مصرف این نوشیدنیها به کاهش لکهها کمک میکند.
10- باکتریهای کروموژنیک
باکتریهای کروموژنیک قادر به تولید رنگدانههای تیره روی دندان هستند و باعث سیاه شدن دندان میشوند، مخصوصاً در کودکان. رعایت بهداشت دهان و بررسی منظم توسط دندانپزشک برای کنترل رشد این باکتریها ضروری است.
11- بهداشت ناکافی و رسوب مواد غذایی
مسواک نزدن و نخ دندان نکشیدن باعث تجمع باکتری و رسوبات غذایی میشود که منجر به سیاه شدن دندان میشود. بررسی دورهای و پاکسازی حرفهای دندانها بهترین روش پیشگیری است.

مقاله پیشنهادی برای مطالعه: کشتن عصب دندان
مهمترین علتهای سیاه شدن دندان
سیاه شدن دندان میتواند دلایل متعددی داشته باشد و شناخت هر علت به تشخیص دقیق و انتخاب روش درمان مناسب کمک میکند. برخی تغییر رنگها نشاندهنده مشکلات فعال دندان هستند و برخی دیگر به مرور زمان ظاهر میشوند، اما هر دو میتوانند کیفیت سلامت دهان را تحت تأثیر قرار دهند. شناسایی علت دقیق از طریق معاینه دندانپزشکی ضروری است تا درمان به موقع آغاز شود.
1- پوسیدگی فعال
پوسیدگی فعال باعث سیاه شدن دندان میشود و معمولاً با تیرگی، حساسیت و گاهی درد همراه است. مراجعه سریع به دندانپزشک میتواند از تخریب بیشتر دندان و عفونت پالپ جلوگیری کند. تشخیص به موقع این نوع پوسیدگی اهمیت زیادی دارد.
2- پوسیدگی غیرفعال و لکههای باقیمانده
گاهی لکههای تیره ناشی از پوسیدگی قدیمی هستند که دیگر فعال نیستند، اما باعث سیاه شدن دندان شدهاند. حتی بدون درد، این لکهها میتوانند ساختار دندان را ضعیف کنند. بررسی دندانپزشکی برای تشخیص نوع لکه و روش درمان مناسب توصیه میشود.
3- فلوروزیس
فلوروزیس ناشی از مصرف بیش از حد فلوراید در دوران شکلگیری دندانهاست و میتواند منجر به سیاه شدن دندان شود. این مشکل باعث لکههای سفید تا قهوهای و گاهی سیاه میشود. درمان شامل بلیچینگ یا روشهای ترمیمی است و تشخیص دقیق نیازمند بررسی تخصصی است.
4- لکههای ناشی از فلزات یا آمالگام قدیمی
ترمیمهای فلزی قدیمی یا تماس طولانی با فلزات میتواند باعث سیاه شدن دندان شود. این لکهها معمولاً پایدار و مقاوم به تمیزکاری معمول هستند. دندانپزشک میتواند روش مناسب برای ترمیم یا پوشش لکهها را پیشنهاد دهد.
5- تغییر رنگ ناشی از افزایش سن
با بالا رفتن سن، عاج دندان تیرهتر میشود و مینای دندان نازکتر میشود که باعث سیاه شدن دندان میشود. این تغییر رنگ طبیعی است اما میتواند در ظاهر لبخند تاثیر بگذارد. بررسی دورهای دندانها و روشهای درمان زیبایی مانند بلیچینگ یا ونیر میتواند موثر باشد.
6- مصرف زیاد فلوراید
فلوراید بیش از حد باعث تغییر رنگ دندان و سیاه شدن دندان میشود. این تغییر معمولاً به شکل لکههای سفید یا قهوهای است و در موارد شدید باعث تیرگی دندان میشود. کنترل مصرف فلوراید در کودکان و بزرگسالان اهمیت بالایی دارد.
7- بههمریختگی pH دهان و اسیدیته بالا
دهان با pH اسیدی بالا باعث فرسایش مینای دندان میشود که میتواند به سیاه شدن دندان و حساسیت منجر شود. غذاها و نوشیدنیهای اسیدی، ریفلاکس معده و بهداشت دهان ضعیف میتوانند این مشکل را تشدید کنند. اصلاح رژیم غذایی و بررسی دندانپزشکی کمککننده است.

مقاله پیشنهادی برای مطالعه: جرم گیری دندان سیاه
سیاه شدن دندان جلو
دندانهای جلو در معرض دید هستند و تغییر رنگ آنها بیش از سایر دندانها جلب توجه میکند. علت این تیرگی میتواند ترکیبی از عوامل داخلی و خارجی باشد و تشخیص دقیق هر کدام نیازمند معاینه تخصصی است. رعایت بهداشت و اقدامات پیشگیرانه اهمیت زیادی دارد.
مینای نازکتر در دندانهای قدامی
مینای دندانهای جلو نازکتر است و باعث نمایان شدن عاج و سیاه شدن دندان میشود. لکهها و تیرگیها بیشتر دیده میشوند و بلیچینگ یا ونیر میتواند ظاهر این دندانها را بهبود بخشد. بررسی توسط دندانپزشک ضروری است.
ضربههای قدیمی به دندان جلو
ضربههای گذشته میتوانند باعث سیاه شدن دندان جلو شوند، حتی اگر سالها قبل رخ داده باشند. این آسیبها گاهی بدون درد هستند اما ممکن است پالپ دندان را تحت تأثیر قرار دهند. تشخیص به موقع اهمیت دارد تا از نکروز یا پوسیدگی جلوگیری شود.
لکههای مقاوم سطحی در ناحیه لبخند
لکههای ناشی از قهوه، چای یا سیگار ممکن است در دندانهای جلو پایدارتر باشند و باعث سیاه شدن دندان شوند. جرمگیری تخصصی و بلیچینگ حرفهای میتواند این لکههای سیاه دندان را از بین ببرد. مراقبت روزانه و مسواک زدن بعد از مصرف این نوشیدنیها کمککننده است.

مقاله پیشنهادی برای مطالعه: درمان سیاه شدن لثه
سیاه شدن دندان در کودکان
تغییر رنگ دندان در کودکان میتواند ناشی از عوامل متعددی باشد که برخی طبیعی و برخی نیازمند درمان هستند. شناخت علت این تغییر رنگ کمک میکند که اقدام به موقع برای جلوگیری از آسیب دندان انجام شود. مراقبت تخصصی برای دندانهای شیری اهمیت بالایی دارد، زیرا سلامت آنها بر رشد دندانهای دائمی اثر میگذارد.
سیاه شدن دندان شیری به دلیل باکتریهای کروموژنیک
باکتریهای کروموژنیک در دهان کودکان میتوانند لکههای تیره روی دندانهای شیری ایجاد کنند که به سیاه شدن دندان میانجامد. این لکهها گاهی قابل پاک شدن هستند، اما در صورت ادامه رشد باکتریها ممکن است باعث پوسیدگی شوند. بررسی و تمیزکاری دندانها توسط دندانپزشک کودک توصیه میشود.
تروما و نکروز دندانهای شیری
ضربه یا آسیب به دندانهای شیری میتواند باعث سیاه شدن دندان و نکروز پالپ شود. این وضعیت حتی بدون درد ممکن است رخ دهد. دندانپزشک کودک باید دندان آسیب دیده را بررسی و درمان مناسب را آغاز کند.
تغییر رنگ ناشی از دارو یا فلوراید
مصرف داروهای خاص یا فلوراید بیش از حد میتواند باعث سیاه شدن دندان کودکان شود. این لکهها گاهی دائمی هستند و نیازمند روشهای درمانی تخصصی هستند. دندانپزشک با بررسی وضعیت دندانها بهترین گزینه درمانی را پیشنهاد میدهد.
بهداشت ناکافی کودک
مسواک نزدن و بهداشت ضعیف دندانها باعث تجمع پلاک و سیاه شدن دندان میشود. آموزش صحیح به کودکان و مراجعه منظم به دندانپزشک ضروری است.

سیاه شدن دندان بدون درد
گاهی دندانها سیاه میشوند اما فرد هیچ دردی احساس نمیکند. این وضعیت میتواند گمراهکننده باشد، زیرا بدون درد هم دندانها ممکن است دچار پوسیدگی یا آسیب پالپ باشند. شناسایی علت سیاه شدن بدون درد اهمیت زیادی دارد تا مشکلات جدی قبل از پیشرفت درمان شوند.
پوسیدگیهای عمیق بدون علامت
برخی پوسیدگیها به حدی عمیق هستند که بافت عصبی را تخریب میکنند بدون اینکه درد ایجاد کنند. این وضعیت خطرناک است، زیرا پوسیدگی میتواند به سرعت پیشرفت کند. بررسی دورهای دندانها توسط دندانپزشک بهترین راه برای تشخیص به موقع است.
نکروز بیعلامت پالپ
نکروز پالپ بدون علائم مشخص، یکی از دلایل تغییر رنگ دندان است. دندان سیاه شده ممکن است نشانه مرگ بافت عصبی داخل آن باشد. درمان فوری توسط دندانپزشک میتواند از انتشار عفونت و از دست رفتن دندان جلوگیری کند.
لکههای سطحی بدون التهاب
گاهی لکههای سطحی باعث تغییر رنگ دندان میشوند بدون اینکه درد یا التهاب ایجاد کنند. این لکهها ممکن است ناشی از غذا، نوشیدنی یا پلاکهای رنگی باشند. تمیزکاری تخصصی و رعایت بهداشت دهان برای جلوگیری از پیشرفت تغییر رنگ توصیه میشود.

مقاله پیشنهادی برای مطالعه: جرم گیری دندان مصنوعی
روشهای علمی درمان سیاه شدن دندان
درمان سیاه شدن دندان بستگی به علت آن دارد و باید بر اساس تشخیص دقیق دندانپزشک انجام شود. روشهای درمانی علمی، از تمیزکاری سطحی تا درمانهای تخصصی مانند روت کانال تراپی، برای حفظ سلامت و زیبایی دندان به کار میروند.
جرمگیری دندان
جرمگیری تخصصی میتواند پلاکها و رسوبات رنگی را از سطح دندان پاک کند. این روش ساده اما موثر، اولین قدم برای پیشگیری از پیشرفت تغییر رنگ است. انجام منظم آن توسط دندانپزشک توصیه میشود.
بلیچینگ دندان
بلیچینگ حرفهای با استفاده از مواد سفیدکننده تخصصی، تغییر رنگ دندانهای خارجی و برخی تغییر رنگهای داخلی را کاهش میدهد. این روش باید تحت نظارت دندانپزشک انجام شود تا آسیب به مینای دندان جلوگیری شود.
روکش کامپوزیت
ترمیم کامپوزیت برای دندانهایی با پوسیدگی یا لکههای موضعی استفاده میشود. این روش ظاهر دندان را بهبود میبخشد و از پیشرفت پوسیدگی جلوگیری میکند. انتخاب رنگ مناسب و تکنیک دقیق توسط دندانپزشک اهمیت دارد.
لمینت دندان
لمینت دندان برای پوشش تغییر رنگ دندانهای مقاوم به سایر درمانها کاربرد دارد. این روش علاوه بر زیبایی، محافظ مینای دندان است و لبخند یکنواخت و جذاب ایجاد میکند. انتخاب مواد مناسب و نصب صحیح توسط دندانپزشک ضروری است.

مقاله پیشنهادی برای مطالعه: هزینه جرم گیری دندان
چه زمانی سیاه شدن دندان میتواند جدی باشد؟
برخی تغییر رنگها نشانه مشکلات جدی دهان و دندان هستند و نیازمند مراجعه فوری به دندانپزشک میباشند. شناسایی این علائم میتواند از بروز پوسیدگی گسترده، عفونت و حتی از دست رفتن دندان جلوگیری کند.
تغییر رنگ ناگهانی یک دندان
تغییر رنگ ناگهانی یک دندان ممکن است ناشی از ضربه، نکروز پالپ یا خونریزی داخلی باشد. این وضعیت نیازمند معاینه فوری است. تشخیص زودهنگام به حفظ دندان کمک میکند.
همراهی با بوی بد دهان
بوی بد دهان در کنار تغییر رنگ دندان میتواند نشانه عفونت یا پوسیدگی فعال باشد. این ترکیب علائم نیازمند بررسی دندانپزشکی سریع است. درمان به موقع از گسترش عفونت جلوگیری میکند.
همراهی با حساسیت
تغییر رنگ دندان همراه با حساسیت به سرما، گرما یا شیرینی نشانه آسیب پالپ یا پوسیدگی پیشرفته است. مراجعه فوری به دندانپزشک توصیه میشود. درمان سریع باعث کاهش درد و حفظ دندان میشود.
تغییر رنگ همراه با مشکلات لثه
تغییر رنگ دندان به همراه التهاب، خونریزی یا عقبنشینی لثه میتواند نشاندهنده بیماری لثه یا عفونت باشد. معاینه تخصصی برای تعیین درمان مناسب ضروری است.
مقاله پیشنهادی برای مطالعه: هزینه لمینت دندان
پیشگیری سیاه شدن دندان
پیشگیری بهترین راه برای کاهش سیاه شدن دندان و حفظ سلامت دهان است. رعایت بهداشت روزانه و کنترل عوامل مؤثر، احتمال تغییر رنگ و پوسیدگی را کاهش میدهد.
رعایت اصول بهداشتی
مسواک زدن دو بار در روز و استفاده از نخ دندان مانع تجمع پلاک و لکهها میشود. بررسی دورهای دندانها توسط دندانپزشک به تشخیص زودهنگام پوسیدگی کمک میکند.
کنترل مصرف نوشیدنیهای رنگدانهدار
کاهش مصرف قهوه، چای، نوشیدنیهای رنگی و شراب قرمز به پیشگیری از تغییر رنگ خارجی کمک میکند. شستوشوی دهان بعد از مصرف این نوشیدنیها اثرگذار است.
ترک سیگار
ترک سیگار و سایر دخانیات مهمترین اقدام برای جلوگیری از لکههای مقاوم سطحی و تیرگی دندان است.
استفاده انتخابی از فلوراید
مصرف کنترلشده فلوراید در پیشگیری از پوسیدگی موثر است، اما مصرف بیش از حد باعث تغییر رنگ دندان میشود. دندانپزشک میزان مناسب مصرف را مشخص میکند.
مشاوره رایگان درمان سیاه شدن دندان
برای بهرهمندی از تجربه متخصصان دندانپزشکی گیشا آرام در زمینه درمان سیاهی و لکههای دندان میتوانید با ا در ارتباط باشید و جلسه مشاوره رایگان خود را رزرو کنید.
مقالات پیشنهادی برای مطالعه:
