از درمان تا زیبایی؛ همراهی در هر گام
در دندانپزشکی زیبایی، هر میلیمتر اهمیت دارد. ما در مرکز دندانپزشکی گیشا آرام دنتال، بهجای راهحلهای یکسان برای همه، لبخندی طراحی میکنیم که با ساختار صورت، فرم لبها و سلیقه شخصی شما هماهنگ باشد. نه درخشش اغراقشده، نه شباهتهای تکراری؛ فقط لبخندی که کاملاً «مختص شما»ست.
لبخندی طبیعی، طراحیشده برای چهره شما
از اصلاح فرم و رنگ دندانها تا طراحی دقیق لبخند، خدمات زیبایی دندان در مرکز آرام با تمرکز بر جزئیات و هماهنگی کامل با صورت شما انجام میشود.
در دنیای امروز که ارتباطات سریعتر از همیشه اتفاق میافتند، ظاهر افراد، گاه پیش از گفتارشان شناخته میشود. در این میان، لبخند نقشی بیش از یک ژست دارد — بخشی از هویت، تأثیرگذاری و حتی اعتمادبهنفس ماست. اما برخلاف آنچه ساده به نظر میرسد، طراحی یک لبخند زیبا، کاری پیچیده و چندلایه است. نهتنها باید با فرم چهره هماهنگ باشد، بلکه باید شخصیت فرد را نیز در خود منعکس کند؛ بیهیچ اغراق و یکنواختی.
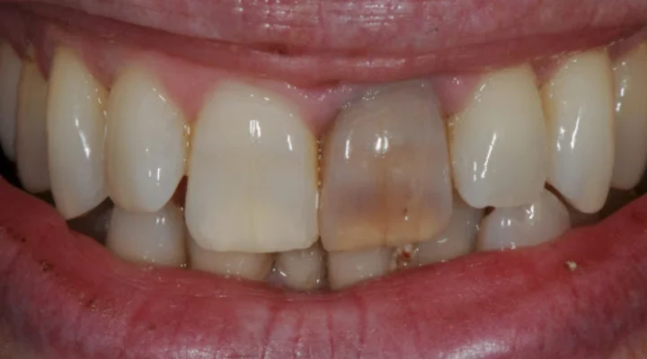
دندانپزشکی زیبایی امروز دیگر به سفیدتر کردن دندانها خلاصه نمیشود. گاهی یک لبپریدگی کوچک، یک ناهمترازی جزئی یا تغییر رنگ ناشی از گذر زمان، همان چیزیست که تمام تعادل چهره را بر هم میزند. در چنین مواردی، تکنیکهایی مانند کامپوزیت ونیر میتوانند با اصلاح دقیق فرم و سطح دندان، بدون آسیب به ساختار اصلی، تأثیری قابلتوجه ایجاد کنند. این درمان نهتنها سریع و کمتهاجمی است، بلکه بهواسطه انعطافپذیری بالا، برای بسیاری از افرادی که بهدنبال بهبود طبیعی لبخند خود هستند، گزینهای هوشمندانه است.
در مقابل، زمانی که مسئله فراتر از اصلاحات جزئی باشد و نیاز به بازطراحی کامل لبخند وجود داشته باشد، استفاده از ونیرهای سرامیکی (لمینت) انتخابی حرفهایتر است. این پوستههای نازک و مقاوم، سطح جلویی دندانها را با دقت بازسازی میکنند و در نهایت، لبخندی متوازن، طبیعی و پایدار خلق میکنند — بدون آن جلوهی مصنوعی که اغلب از آن گریزانیم.
تغییر رنگ دندانها نیز یکی از دغدغههای رایج است؛ تغییری که معمولاً به مرور زمان و در اثر رژیم غذایی، سیگار یا حتی داروها ایجاد میشود. بلیچینگ تخصصی (سفیدکردن دندان) در اینجا میتواند تفاوت معناداری ایجاد کند، اما نه به شیوههای تجاری و غیراستاندارد. آنچه ما در آرام دنبال میکنیم، روشناییای کنترلشده است که با رنگ پوست، سفیدی چشم و سایر اجزای چهره همخوانی داشته باشد.
البته در برخی لبخندها، مشکل نه در فرم یا رنگ دندان، بلکه در نمایش بیشازحد یا نامتقارن لثههاست. در چنین مواردی، اصلاح خط لثه میتواند به بازگرداندن تعادل کمک کند. با کمک فناوریهای دقیق جراحی لثه، فرم لثه با لبخند و فرم دندانها هماهنگ میشود، بدون آنکه تغییری شدید یا تهاجمی رخ دهد.
آنچه این خدمات را به سطحی بالاتر میبرد، استفاده از طراحی دیجیتال لبخند (DSD) است — فناوریای که به ما اجازه میدهد پیش از آغاز درمان، ساختار صورت، حالت لبخند و حتی سلیقهی شما را در نظر بگیریم و شبیهسازی دقیقی از نتیجه نهایی ارائه کنیم. این یعنی، انتخاب نهایی نه فقط توسط دندانپزشک، بلکه با مشارکت خود شما انجام میشود.
همه اینها زمانی معنا پیدا میکنند که زیبایی با سلامت گره خورده باشد. در مرکز دندانپزشکی گیشا آرام، ما هر تصمیم زیبایی را با ارزیابی دقیق وضعیت دهان و دندان آغاز میکنیم. چرا که لبخندی زیبا، اگر با ثبات، عملکرد صحیح و ساختار سالم همراه نباشد، تنها یک تصویر ناپایدار خواهد بود.
در نهایت، هدف ما خلق لبخندی نیست که «مشابه» لبخند دیگران باشد. بلکه بازطراحی لبخندیست که فقط با چهرهی شما کامل میشود. نه بیشتر، نه کمتر.
همکاری با برندهای
کلاس جهانی
دندانپزشکی با نگاهی نو؛
فراتر از تجربههای معمول
در آرام دنتال، مراقبت از سلامت و زیبایی لبخندتان با دقت، آرامش و توجهی شخصی همراه است. خدمات دندانپزشکی ما در محیطی یکپارچه و آرام ارائه میشود و هر ویزیت را به تجربهای مطمئن و آسوده تبدیل میکند. با رویکردی مبتنی بر دانش روز و استانداردهای بالا، در کنار شما هستیم تا سلامت دهان و دندانتان در بهترین وضعیت حفظ شود.
دندانپزشکانی مجرب،
رویکردی نوین.
مراقبت کامل،
با آرامش خاطر.
اعتماد ۲۰ ساله
کیفیتی همیشگی
اولین قدم را به سوی لبخندی سالمتر و زیباتر بردارید.
من حدوداً ۱۶ ساله که با آقای دکتر سیدرضا هاشمی آشنا شدم و کلاً از لحاظ عصبکشی و پر کردن دندون دکتری رو با دقت و موادی که استفاده میکنن ندیدم و با خیال راحت میتونم بگم بهترین دکتری بوده که تا حالا دیدم. همیشه تندرست و سالم باشن
حسین قندی
من به عنوان بیمار آقای دکتر هاشمی ۲۰ سال میشه که با ایشون آشنا شدم. بسیار عالی از لحاظ بهداشت و کار انجام شده که برام ایمپلنت کردن و جزو بهترین پزشکان محسوب میشن
پوران دولابی
اعتماد
به دستانی شایسته
اولین قدم را به سوی لبخندی سالمتر و زیباتر بردارید.
من برای کار پسرم که ۱۲ سال داره خدمت خانم دکتر رسیدم، دندان عصب کشی لازم داشت، هنگام مراجعه درد شدیدی داشت بخاطر عفونت، خانم دکتر یزدانی با دقت و صبوری کارش را انجام داد، رفتار ایشون با بچههای هالی هست، از زحماتشون متشکرم
خانم احمدی
خانم دکتر یزدانی، دندانپزشکی بسیار محترم هستند که علاوه بر دانش بالایی که در زمینه دندانپزشکی دارند، همیشه در حین کار نظر وسلیقه بیمار رو هم در روند درمان مد نظر قرار میدن که معتقدم یکی از محاسن کار حرفهای ایشون هست. من هم کار ترمیمی و هم کار زیبایی دندانرو پیششون انجام دادم و فوقالعاده راضیام.
آقای شرافتی
روند همراهی شما برای
لبخندی زیباتر

مرور دقیق سوابق دندانپزشکی پیشین برای درک بهتر شرایط فعلی.

ارزیابی جامع دهان و دندان توسط دندانپزشک باتجربه.

استفاده از دوربین داخل دهانی برای مشاهده دقیق نواحی آسیبدیده.

تهیه تصاویر رادیولوژی بهمنظور تشخیص پوسیدگیهای غیرقابل مشاهده با چشم.

گفتوگو دربارهی مسیرهای درمانی ممکن با توجه به نیازها و ترجیحات شما.

تدوین یک برنامه درمانی اختصاصی متناسب با شرایط دهان و دندان شما.

پاسخگویی کامل به تمامی سوالات و دغدغههای مرتبط با درمان.

توضیح شفاف دربارهی نحوه محاسبه هزینهها و خدمات ارائهشده.
بلاگ اختصاصی

11 علت سیاه شدن دندان + پیشگیری و درمان سیاهی دندان؛ راهنمای جامع 1404

هزینه کامپوزیت دندان در سال 1404 | مشاوره رایگان

هزینه لمینت دندان در سال 1404 | مشاوره رایگان
✦ ارتباط با مرکز دندانپزشکی گیشا آرام دنتال
زیباترین لبخند از اینجا شروع میشود
همین حالا وقت ملاقات خود را رزرو کنید و بهترین مراقبتهای دندانپزشکی گیشا آرام را تجربه کنید.
