علت بوی بد دهان + 3 روش درمان قطعی رفع بوی بد دهان AramDent دسامبر 9, 2025 حدود ۳۰٪ از بزرگسالان جهان با مشکل بوی بد دهان مواجه هستند. این وضعیت که به آن هالیتوزیس گفته میشود،
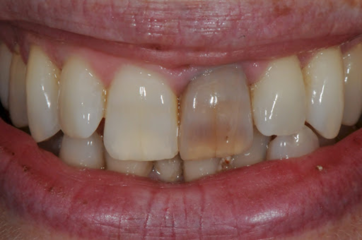
11 علت سیاه شدن دندان + پیشگیری و درمان سیاهی دندان؛ راهنمای جامع 1404 AramDent نوامبر 30, 2025 بین ۳۵ تا ۴۵ درصد بزرگسالان در مراحل مختلف زندگی، سیاه شدن دندان را تجربه میکنند و در بیش از
هزینه کامپوزیت دندان در سال 1404 | مشاوره رایگان AramDent نوامبر 20, 2025 تقاضا برای درمانهای زیبایی دندان در دهه اخیر بیش از ۳۵ درصد افزایش یافته و کامپوزیت دندان یکی از اصلیترین
هزینه لمینت دندان در سال 1404 | مشاوره رایگان AramDent نوامبر 14, 2025 بازار جهانی لمینت دندان در سال ۲۰۲۳ حدود ۶٫۷ میلیارد دلار ارزشگذاری شده و پیشبینی میشود با نرخ رشد سالانه
تفاوت بلیچینگ و لمینت دندان؛ راهنمای جامع 2025 AramDent نوامبر 8, 2025 تفاوت بلیچینگ و لمینت دندان چیست؟ بسیاری از افراد هنگام تصمیمگیری برای بهبود ظاهر دندانهای خود با این سؤال مواجه
بلیچینگ دندان درد دارد؟ AramDent اکتبر 22, 2025 در سال ۲۰۲۴، بازار جهانی بلیچینگ دندان ارزشی معادل ۸.۵۲ میلیارد دلار داشت. این آمار نشاندهنده میزان محبویت بلیچینگ برای
ماندگاری بلیچینگ دندان ؛ بلیچینگ دندان چقدر دوام دارد؟ AramDent اکتبر 17, 2025 بیش از ۷۰ درصد افرادی که بلیچینگ دندان انجام میدهند، ظرف 1 سال بخشی از نتیجه را از دست میدهند.
عوارض بلیچینگ دندان ؛ 9 عارضه جدی + راههای پیشگیری ! AramDent اکتبر 12, 2025 اگر شما هم متعلق به ۸۰٪ جامعه آماری جهان هستید که تمایل به داشتن دندانهای سفیدتر دارند، احتمالاً به بلیچینگ
هزینه بلیچینگ دندان در سال 1404 + مقایسه تفاوت قیمتها AramDent اکتبر 7, 2025 حدود ۷۰ درصد بزرگسالان با تغییر رنگ یا لکههای دندان مواجهاند و نزدیک به ۴۵ درصد آنها برای بهبود ظاهر
آفیس بلیچینگ چیست؟ مقایسه آفیس بلچینگ و هوم بلچینگ 1404 AramDent اکتبر 2, 2025 مطالعات نشان میدهد که بیش از ۷۰ درصد بزرگسالان در جهان از تغییر رنگ دندانهای خود شکایت دارند و این